CT、DRモード別に様々な撮影モードを支援し、正確な診断をサポートします。
					イメージの用途と目的に合わせて多様な大きさ/解像度のFOVを提供します。
放射線露出は最小限に抑えながら最適化された映像を撮影することができます。
					
				
				
				大面積のCTセンサーを搭載して""
23cmx14cm、23cmx24cmの
広いFOVを提供します。
				
				
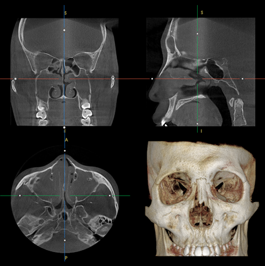
								Auto-Stitching""を通じて大面的な撮影へ。
副鼻腔やチョンドゥドン撮影が1回に可能です。
								
					
			(Smart Metal Artifact Reduction Function)
				Metal artifactを最小化し、補綴物による映像品質の低下を防ぎ、
最適な映像を提供します。
				
			
								改廃型Chinrest system はユーザの移動""
利便性を提供し、患者の動線を減らし、撮影室。
空間をより効率的に使うことができます。
								

								最適な映像獲得のためのSeat Type方式は
映像の揺れを最小化し、小児、高齢者など
誰でも楽に。撮影できるようにします。
								


								患者別のポジションや撮影条件をDB化し、再撮影の際、別途の操作なしに便利で速い撮影をお手伝いします。
患者ポジションや撮影条件、DB化/患者ポジション、DBへSetting
								
			
				EMEMRチャート連動は、患者の映像をチャート内にDB化し、
診療内訳とともに映像を管理できる便利な機能です。
				
					
				
				長い経験を通じて蓄積されたノウハウで卓越した診断映像を提供します。








